Nên niềng răng mắc cài sứ hay kim loại?
Nên niềng răng mắc cài sứ hay kim loại?
Niềng răng giúp can thiệp các khiếm khuyết của hàm răng, cải thiện thẩm mỹ răng như hàm hô, móm, thưa, mọc lệch lạc. Niềng răng mắc cài kim loại và mắc cài sứ đều là những phương pháp chỉnh nha hợp lý để khắc phục hiệu quả các khiếm khuyết về răng. Những người đang có ý định chỉnh nha thường hay có thắc mắc nên niềng răng mắc cài sứ hay kim loại để có được hiệu quả tốt nhất. Bài viết dưới đây sẽ giúp cho bạn có thêm cơ sở trước khi quyết định niềng răng bàng mắc cài kim loại hay mắc cài sứ.
- Thông tin chung về hai phương pháp niềng răng
1.1 Phương pháp niềng răng mắc cài sứ
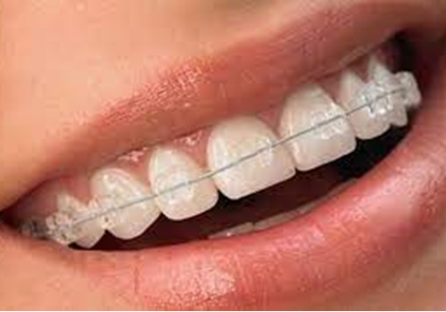
Niềng răng mắc cài sứ là phương pháp dùng mắc cài có chất liệu bằng sứ kết hợp với dây cung để kéo chỉnh răng về đúng vị trí trên cung hàm. Mắc cài bằng sứ có màu giống với màu răng nên khó phát hiện và người niềng có thể tự tin hơn khi giao tiếp.
Hiện nay, niềng răng mắc cài sứ có hai loại phổ biến là:
– Niềng răng mắc cài sứ thông thường: loại sử dụng hệ thống mắc cài, dây cung, thun để cố định dây cung trên các rãnh mắc cài, đảm bảo lực kéo răng được diễn ra liên tục.
– Niềng răng mắc cài sứ tự động: loại này có cấu tạo giống với niềng răng mắc cài kim loại tự đóng. Cụ thể, các mắc cài được làm bằng sứ có chốt tự đóng nhằm thay thế cho dây thun ở dạng mắc cài thường, việc này giúp giảm ê buốt khi mới đeo niềng hơn dùng thun cố định.
1.2 Phương pháp niềng răng bằng mắc cài kim loại
Cơ chế hoạt động của niềng răng mắc cài kim loại tương tự như mắc cài sứ, sử dụng hệ thống mắc cài và dây cung để tạo ra lực siết nhằm di chuyển răng về đúng vị trí, đảm bảo khớp cắn không bị lệch. Mắc cài và dây cung ở phương pháp này đều được làm bằng chất liệu kim loại nên có độ bền, cứng chắc, lực tác dụng đều và ổn định.
Phương pháp niềng răng bằng mắc cài kim loại có hai dạng:
– Niềng răng mắc cài kim loại thông thường: sử dụng những dây thun có độ đàn hồi tốt để cố định dây cung đảm bảo quá trình niềng răng diễn ra liên tục.
– Niềng răng mắc cài kim loại tự động: dạng này được cải tiến từ mắc cài thông thường. Người niềng sẽ không phải chịu đau đớn, dễ dàng điều chỉnh lực siết răng với hệ thống nắp trượt thay thế cho dây thun.
2.1 So sánh nên niềng răng mắc cài sứ hay kim loại
Về điểm chung, bản chất của cả hai phương pháp này đều có thể khắc phục các khiếm khuyết của hàm răng như bị hô, móm, lệch khớp cắn. Niềng răng mắc cài kim loại hay mắc cài sứ đều có chung điểm chung là sử dụng hệ thống mắc cài kết hợp với dây cung để tạo ra lực siết chính nhằm di chuyển răng về đúng vị trí trên cung hàm. Ngoài ra cả hai phương pháp đều có hai loại mắc cài là mắc cài thường (sử dụng dây thun đặc biệt để cố định dây cung và rãnh mắc cài) và mắc cài tự động (có chốt tự khóa để buộc cố định dây cung). Cả hai phương pháp đều có khả năng can thiệp các tình trạng răng miệng từ mức độ trung bình, khó đến phức tạp.
Niềng răng mắc cài kim loại hay mắc cài sứ đều có chung điểm chung là sử dụng hệ thống mắc cài kết hợp với dây cung để tạo ra lực siết chính nhằm di chuyển răng về đúng vị trí trên cung hàm.
Về điểm khác biệt của hai phương pháp thẩm mỹ răng này là:
– Thời gian điều trị: do chất liệu kim loại có độ bền chắc tốt nên quá trình niềng răng sẽ diễn ra liên tục, từ đó sẽ rút ngắn thời gian niềng răng. Ngược lại, mắc cài bằng sứ sẽ có xu hướng dễ vỡ hơn, làm gián đoạn quá trình niềng nên thời gian niềng cũng sẽ bị kéo dài hơn.
– Mức độ kích ứng: có thể gây ra kích ứng nhỏ đối với một số trường hợp người niềng bị dị ứng với kim loại. Trong khi đó chất liệu sứ sẽ an toàn, lành tính với hầu hết người bệnh nên không xảy ra kích ứng.
– Tính thẩm mỹ: khi niềng răng bằng mắc cài kim loại sẽ dễ nhận ra do màu sắc, người niềng cảm thấy tự ti khi nói chuyện hoặc giao tiếp gần. Trong khí đó, tính thẩm mỹ tương đối cao vì chất liệu mắc cài bằng sứ có màu tương tự răng thật, khó phát hiện hơn.
– Chi phí niềng răng: chi phí niềng răng bằng mắc cài kim loại thường sẽ thấp nhất trong tất cả các phương pháp niềng răng khác. Do đó, mắc cài kim loại đến này vẫn được ưa chuộng dù tính thẩm mỹ không cao.
2.2 Nên niềng răng mắc cài sứ và kim loại?
Theo các chuyên gia nha khoa thì cả hai phương pháp đều mang lại hiệu quả tốt và an toàn cho sức khỏe người niềng. Do đó, để có được quyết định nên sử dụng mắc cài sứ hay kim loại thì phụ thuộc vào nhiều yếu tố như tình trạng răng, nhu cầu, khả năng tài chính của người niềng.
Với những trường hợp người niềng quan trọng tính thẩm mỹ, công việc đòi hỏi giao tiếp nhiều thì mắc cài bằng sứ là sự lựa chọn hàng đầu. Ngược lại, những trường hợp muốn hiệu quả nhanh, tiết kiệm chi phí thì nên chỉnh nha bằng mắc cài kim loại.
Tuy nhiên, người niềng nên lưu ý rằng tình trạng răng mới là yếu tố then chốt để quyết định sử dụng phương pháp nào. Theo một số nghiên cứu khoa học, mắc cái sứ không phù hợp cho những đối tượng có dáng răng quá nhỏ và mắc cài bằng kim loại không áp dụng cho người có xương hàm quá yếu.
Như vậy niềng răng mắc cài hay kim loại đều có những ưu điểm và nhược điểm riêng trong quá trình chỉnh nha thẩm mỹ răng. Để có được quyết định phù hợp nhất cho tình trạng răng miệng cũng như nhu cầu, khả năng của bản thân, người chỉnh nha nên đến nha khoa uy tín để được nhận sự tư vấn của bác sĩ nha khoa từ đó sẽ có phác đồ điều trị tốt nhất.
Nếu bạn có bất kỳ thắc mắc nào cần được hỗ trợ, đừng ngần ngại kết nối với Bác sĩ của Nha khoa Dr Thuần theo Contact dưới đây:
Sđt: 02293 610 222 – 0912 869 838
Fanpage: Nha Khoa Dr Thuần và Cộng Sự – Tp Ninh Bình
Website: https://nhakhoadrthuan.com/
Email: nkdrthuan@gmail.com
Địa chỉ: 94 Vân Giang, Thành phố Ninh Bình
Mọi chi tiết xin vui lòng liên hệ
NHA KHOA DR THUẦN & CỘNG SỰ
Địa chỉ:
94 Vân Giang, Thành phố Ninh Bình
Hotline 1:
02293 610 222
Hotline 2:
0912 869 838
Email:
nkdrthuan@gmail.com
Website: https://nhakhoadrthuan.com
