Niềng răng cho trẻ em

CHỈNH NHA HÀM FACE MASK CHO TRẺ EM

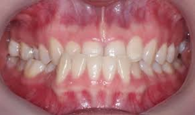
Răng móm – khớp cắn ngược là một trong những trường hợp bị sai khớp cắn thường gặp trong nha khoa. Tình trạng răng móm làm cho người bệnh mất tự tin do gương mặt thiếu tính thẩm mỹ, ảnh hưởng tới khả năng ăn nhai và ngoài ra còn gây các bệnh lý về răng miệng. Để cải thiện tình trạng này bạn nên cho bé đi niềng răng càng sớm càng tốt. Các bác sỹ niềng răng thì có thuật ngữ chuyên môn gọi tình trạng này là khớp cắn hạng III.

Khớp cắn hạng III : Hạng III xương hay hạng III răng : móm do xương hay móm do răng.

1 3

 

Thế nào là răng móm?

Răng móm hay còn gọi là khớp cắn ngược, một trong những dạng sai khớp cắn phổ biến, có sự sai lệch tương quan giữa hai hàm. Thông thường với răng phát triển bình thường khi khép miệng lại cung răng hàm trên sẽ phủ ngoài cung răng hàm dưới, còn với những người bị móm thì khớp cắn sẽ phát triển ngược lại, tức là răng hàm dưới phủ ngoài răng hàm trên.

 

Nguyên nhân gây tình trạng răng móm – khớp cắn ngược

  • Nguyên nhân nguyên phát (di truyền)

Trong trường hợp ông bà, bố mẹ có hiện tượng móm răng còn con cái sinh ra sẽ có nguy cơ cao gặp phải tình trạng tương tự.

+ Xương hàm trên kém phát triển

+ Xương hàm dưới phát triển quá mức

  • Nguyên nhân thứ phát

+ Nguyên nhân tại chỗ do răng: Một số trường hợp do bị thiếu răng cửa hàm trên làm giảm chiều dài cung răng trên, hoặc răng cửa hàm trên mọc chậm làm không có điểm chặn răng cửa làm hàm dưới khiến cung răng hàm dưới bị trượt ra ngoài.

+ Nguyên nhân tâm lý: Do thói quen thường đưa hàm dưới ra trước.

+ Nguyên nhân nội tiết: Do rối loạn chức năng tuyến yên, làm ảnh hưởng tới sự phát triển của xương hàm dưới.

+ Do mất răng sớm: Mất răng cối sữa hàm dưới sớm cũng là một trong những nguyên nhân gây móm răng, bởi tình trạng này làm cho răng hàm dưới trượt ra trước để thực hiện chức năng ăn nhai.

+ Nguyên nhân do khớp: Dây chằng khớp thái dương hàm bị lỏng lẻo dễ làm hàm dưới trượt ra trước.

+ Nguyên nhân do cơ: Lưỡi hoạt động quá mức làm hàm dưới bị đẩy ra trước gây mất cân bằng giữa cơ môi, má và lưỡi.

Ảnh hưởng của khớp cắn ngược tới người bệnh

  • Răng móm – khớp cắn ngược làm ảnh hưởng tới cấu trúc khuôn mặt:

Răng móm gây ảnh hưởng trực tiếp tới cấu trúc và thẩm mỹ gương mặt. Người răng móm sẽ có khuôn mặt dạng lưỡi cày (đặc biệt rõ khi nhìn nghiêng) gây mất hài hoà và cân đối, không có tính thẩm mỹ.

  • Ảnh hưởng tới khả năng ăn nhai:

Do bị khớp cắn ngược nên khả năng ăn nhai cũng sẽ bị ảnh hưởng. Khi bạn nhai thức ăn trên hàm răng bị sai khớp cắn sẽ gây mỏi và thức ăn cũng sẽ không được nhai nhuyễn. Điều này khiến cho hệ tiêu hoá và dạ dày phải làm việc liên tục, từ đó làm giảm khả năng hấp thu chất dinh dưỡng. Chính vì thế khi nói răng móm làm ảnh hưởng tới việc ăn nhai và là nguyên nhân của rối loạn tiêu hoá không hề sai.

  • Ảnh hưởng tới khả năng phát âm:

Bên cạnh đó tình trạng răng móm còn ảnh hưởng tới việc phát âm, giao tiếp không được rõ chữ, tròn vành, phát âm không chuẩn.

  • Là nguyên nhân gây các bệnh lý về răng miệng:

Khớp cắn không chuẩn cũng khiến cho cơ hàm phải hoạt động quá mức, dễ làm co thắt cơ và rối loạn khớp thái dương hàm, gây ra các cơn đau ở khớp và xung quanh khớp thái dương hàm.

Chính vì vậy niềng răng móm không chỉ mang lại tính thẩm mỹ mà còn giúp loại bỏ những nguy cơ gây bệnh về khớp thái dương hàm và những bệnh lý răng miệng khác.

Niềng răng móm – khớp cắn ngược cho trẻ em:

Các bậc phụ huynh khi thấy con em mình có hiện tượng “cắn ngược” các răng phía trước , đó là con mình bị móm và nên đưa bé đến khám ở các Bác sỹ chuyên khoa càng sớm càng tốt , nên nhớ rằng càng sớm càng tốt , các bé sẽ được chỉnh sửa ngay lập tức để trả lại cho bé một cung hàm bình thường và khuôn mặt hài hòa , tránh được phẫu thuật về sau.

Nếu bé khoảng 5-6 tuổi , các Bác sỹ sẽ đắp trên cung răng bé “mặt phẳng Planate” , nhằm kích thích sự phát triển xương hàm trên ra trước.

Nếu bé khoảng 6-7 tuổi , có cắn ngược phía trước một hoặc vài răng , các Bác sỹ sẽ cho bé đeo “mặt phẳng nghiêng” nhằm giải chéo những răng cắn ngược , kích thích xương hàm trên phát triển hài hòa.

Nếu bé từ 7-14 tuổi , các Bác sỹ sẽ kéo hàm trên kích thích hàm trên phát triển bằng những khí cụ đặc biệt thiết kế riêng cho từng bé , đó là Face Mask. Phụ huynh sẽ phối hợp với bác sỹ chuyên khoa trong việc nhắc nhở , giám sát bé đeo khí cụ , vì mỗi ngày cần đeo 12 tiếng vào lúc tan trường về nhà nên cần phải có cuốn sổ nhật ký đeo Face Mask.

2 3

 

Trung bình kéo Face Mask khoảng 2-4 tháng là hàm trên đã phát triển ra phía trước và bé sẽ hết móm , thẩm mỹ khuôn mặt được cải thiện.

Một số trường hợp việc điều trị với Face Mask kèm với ốc nong hàm , viếc điều trị sẽ hơn 1 năm.

Điều trị móm với Face Mask rất hiệu quả trong trường hợp xương hàm trên nhỏ, xương hàm dưới bình thường.

Trong trường hợp xương hàm dưới phát triển quá mức do di truyền thì Face Mask chỉ cải thiện một phần là tăng phát triển hàm trên , còn hàm dưới dài ra liên tục không cách nào ngăn được thì chắc chắn phải phẫu thuật sau này.

3 2

Nếu bạn gặp phải các vấn đề trên, hãy đến Nha Khoa Dr Thuần của chúng tôi, chúng tôi đảm bảo sẽ giúp cải thiện vấn đề thẩm mỹ khuôn mặt và nụ cười một cách tốt nhất với phương pháp điệu trị hiệu quả và an toàn.

Mọi chi tiết xin vui lòng liên hệ
NHA KHOA DR THUẦN & CỘNG SỰ
Địa chỉ: 94 Vân Giang, Thành phố Ninh Bình
Hotline 1: 02293 610 222
Hotline 2:
0912 869 838
Email: nkdrthuan@gmail.com
Website: https://nhakhoadrthuan.com

Bài viết liên quan

Niềng răng Invisalign
Niềng răng Invisalign
Niềng răng mắc cài
Niềng răng mắc cài
Tẩy trắng răng
Tẩy trắng răng
Hàm tháo lắp
Hàm tháo lắp